3月4日,一场与死神赛跑的生死救援在阿坝州人民医院急诊科与心内科介入导管室紧张上演。通过急诊科、心内科及介入团队的快速响应、紧密协作,一名突发急性下壁心肌梗死的患者被成功救治。从进入医院大门到闭塞血管开通,整个过程仅用时25分钟,远低于国际规定的90分钟标准,充分展现了阿坝州人民医院在急性胸痛救治领域的过硬实力和高效率。
突发胸痛,警报拉响
一名58岁的男性患者因“胸痛1+小时”患者遂电话联系急诊120,120出诊医师到达现场后根据病情立即完善心电图,提示“急性下壁心肌梗死”,立即电话和微信联系心内科导管室值班人员,明确急性下壁ST段抬高心肌梗死,马上给与“阿司匹林及替格瑞洛”抗血小板聚集,并在转运途中向患方告知病情(这是一种极其凶险的心血管急症,心肌坏死面积大,随时可能发生恶性心律失常、心源性休克甚至猝死),需要马上手术治疗,开通闭塞的罪犯血管,征得患方同意。于14:09到达阿坝州人民医院绕行急诊科及CCU,于14:12在医务人员陪同下到达导管室急诊行“冠状动脉造影术及冠脉内球囊成形及血栓抽吸及冠脉内溶栓术”,术后转入CCU进一步监护治疗。

快速响应,团队集结
情况万分危急!急诊科医生一边紧急给予患者“心梗一包药”口服(阿司匹林300mg、替格瑞洛180mg),一边迅速激活介入团队。心内科二线值班医生接到会诊通知后,3分钟内抵达急诊抢救室,与患者家属进行简短而有效的术前沟通,告知病情及急诊冠状动脉介入治疗(PCI)的必要性和紧迫性。与此同时,介入导管室内的“战斗”也已悄然打响。
导管室备战,无缝衔接
14时02分,介入导管室的电话急促响起。接到科室“急性心肌梗死,准备急诊手术”的通知后,14时08分,介入护士与介入医生团队几乎同时到达导管室。大家各司其职,迅速而有序地展开准备工作,确保其处于随时可用的应急状态。每一秒钟的争取,都为患者的心肌赢得一分生存的希望。
精准施治,重开生命通道
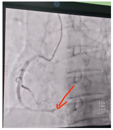
14时12分,患者通过急诊专用通道被直接送入介入导管室。14:20进行穿刺。14时34分,导丝顺利通过右冠远端闭塞病变处,行PTCA及冠脉内血栓抽吸及冠脉内溶栓开通血管,复查造影显示,远端血流恢复至正常水平(TIMI 2+级)。

团队协作,再创生命奇迹
从患者进入医院大门到血管开通(D-to-B时间),仅用时25分钟,远优于国家标准。这不仅是一次技术上的成功,更是对阿坝州人民医院胸痛中心多学科协作(MDT)模式高效运行的一次完美检验。在这场与死神的赛跑中,急诊科的快速识别与预处理、心内科的精准决策、介入团队的默契配合,共同构成了守护患者生命的坚固防线。

术后,患者被安全转运至心血管内科重症监护室(CCU)进行后续治疗。目前,患者生命体征平稳康复治疗。

急性心肌梗死发病急、病情重、死亡率高。一旦出现剧烈而持久的胸痛、胸闷、大汗淋漓等症状,应立即停止活动,拨打120急救电话,争取黄金救治120分钟。时间就是心肌,时间就是生命!阿坝州人民医院胸痛中心24小时全天候待命,为您的“心”健康保驾护航。


